
Есть ли основания считать, что Эва Перон умерла в результате злонамеренной операции на мозге? Нейрофизиолог Дэниел Нідженсон уверен, что это именно так.
За несколько недель до смерти Эва Перон сопровождала в автомобиле мужа во время его второй инаугурации на пост президента Аргентины.
По рассказам свидетелей, она так похудела от рака матки, ей пришлось стоять в каркасе из гипса и проволоки, похожей на клетку, что поддерживал ее хрупкие конечности. Она весила 36 кг.
Такой, по крайней мере, была официальная версия. Однако недавно нейрохирург из Медицинской школы Йельского университета д-р Дэниел Нідженсон обнаружил новые данные, из которых следует совершенно другая история.
Отвратительный политический скандал, о котором в популярном мюзикле Эндрю Ллойд Уэббера «Эвита» ни словом не упоминается.
Помимо боли и печали эта история полна лжи, предательства, тайн и дезінформаціїд-р Дэниел Нідженсон, нейрохирург
Как утверждает медик в докладе, обнародованном в специализированном нейрохирургическом издании Neurosurgical Focus, «помимо боли и печали эта история полна лжи, предательства, тайн и дезинформации».
Согласно теории Нідженсона, мужчина, который стоял рядом с Эвитой на параде, несет ответственность за ее быстрое угасание. Именно он, по мнению исследователя, заставил Эву согласиться на лоботомию.
Контроль боли и гнева
Такая операция предусматривает иссечение нейронных связей (афферентных и эфферентных волокон) между лобными долями и другими отделами мозга.
Ее цель заключается в том, чтобы заглушить эмоциональные реакции пациента.
Ее цель заключается в том, чтобы заглушить эмоциональные реакции пациента
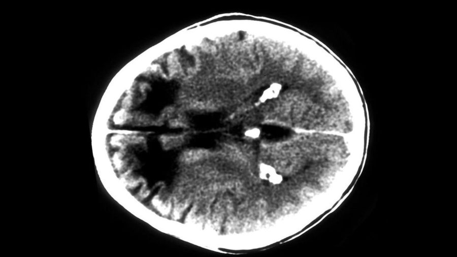
Эти данные хранились в секрете до того времени, пока 2011 года Нідженсон не обнаружил результаты посмертного сканирования скелета женщины, в частности рентгеновских снимков черепа, на которых видно, что его сверлили.
Конечно, лоботомия могла быть радикальной мерой, с целью помочь Эвите справиться с ужасной болью, которую она чувствовала через рак.
Даже если бы эта хирургическая процедура не устранила боль, она была способна притупить эмоциональные реакции и облегчить страдания женщины.
Основываясь на новых данных, близких к описываемым событиям, Нідженсон приходит к выводу, что операция стала последней отчаянной попыткой мужа обуздать ее поведение, которая становилась все более опасной.

Во время лоботомии в черепе сверлят отверстия, через которые наносят повреждения в лобных долях коры головного мозга
«Операция «предоставила прекрасную возможность» успокоить Евіту и предотвратить гражданскую войну, а также попробовать притупить его реакцию на раковый боль», — отмечает нейрохирург.
За год до смерти Эвита вела себя все более импульсивно. Как первая леди она отвечала за многие аспекты социальной политики в стране, однако в начале 1950-х годов в правительстве начали появляться трещины.
Очевидно, через тревогу и боль от рака ее риторика становилась все более провокационным. Прежде всего резко она нападала на тех, кто осмеливался не соглашаться с ней.
Она агрессивно нападала на тех, кто осмеливался не соглашаться с ней
Нідженсон пишет: «Ее последняя публичная речь 1 мая 1952 года в День труда, стала боевым кличем против ее врагов. Она также надиктовала 79-страничный документ под заглавием «Мое послание», в котором отразились как ее воинственность, так и яростное состояние ее ума.
Она говорила о «врагах народа», «равнодушных и отвратительных», «холодных, как жабы и змеи». Она разжигала «священный огонь фанатизма».
Она выступала против этих придурков», которые призывали к благоразумию. Она приказывала народа Аргентины «бороться против олигархии».

В фильме 1996 года «Эвита» не содержалось ужасных подробностей, которые обнаружил доктор Дэниел Нідженсон
И это были не пустые угрозы. Находясь в постели, она без ведома мужа заказала, как утверждается, пять тысяч автоматических пистолетов и полторы тысячи пулеметов, которыми она собиралась вооружить рабочих, которые вступили в профсоюзы, и сформировать из них рабочее ополчение.
Этой новости было достаточно, чтобы посеять вражду среди различных фракций, которые поддерживали Хуана Перона и которые и без того выражали недовольство по поводу популярности Эвиты и власти, которую она сосредоточила в своих руках.
Страна могла очень быстро погрузиться в хаос гражданской войны.
Стала лоботомия ответом президента Перона?
Этот вид операций на то время уже вступил в печальной распространенности в США (и других странах) как мероприятие, которое проводится для лечения неконтролируемой агрессии и всплескам насилия.
Лобтомія уже стала распространенным способом лечения неконтролируемой агрессии
Ознакомившись с историей болезни Эвиты Перон, д-р Нідженсон связался со знакомыми ее хирурга Джеймса Поппена из Бостона.
Среди его корреспондентов была одна из операционных сестер Поппена и доверенное лицо хирурга, Манена Рикельме, которая признала, что операция была проведена без согласия Эвиты.
Врачам пришлось соорудить импровизированную операционную в одной из задних комнат президентского дворца, рассказала сестра.
Секретная операция проводилась при таких повышенных мер безопасности, что все происходило в присутствии вооруженных охранников.

Эва Перон выступает перед женщинами в 1951 году
Пожалуй, наиболее зловещим подробностями рассказа медсестры является то, что д-р Поппен провел несколько операций по лоботомии сначала на узниках Буэнос-Айреса. Он сделал это по просьбе Хуана Перона, который, очевидно, хотел, чтобы жена выжила после операции.
В конце концов, операция действительно заставила Евіту замолчать, просто приблизив ее конец. После лоботомии она совершенно перестала есть. Она умерла 26 июля 1952 года.
Поппен, как утверждают его знакомые, позже выражал сожаление по поводу своего участия в том деле и тех страданий, которые он принес.
Вряд ли мы когда-нибудь узнаем наверняка, каковы были истинные мотивы операции. С тех событий прошло немало времени, и мы можем положиться лишь на показания небольшого количества людей.
Однако подозрения в сговоре добавляют еще один раздел к жизнеописанию колоритной и трагической личности Эвы Перон, судьба которой продолжает интриговать и очаровывать людей через шесть десятилетий после ее смерти.
Прочитать оригинал этой статьи на английском языке можно на сайте BBC Future.
Хотите поделиться с нами своими жизненными историями? Напишите о себе на адрес questions.ukrainian@bbc.co.uk и наши журналисты с вами свяжутся.
Хотите получать главные статьи в мессенджер? Подписывайтесь на наш Telegram.
…
















комментарии закрыты.